
新华社西安5月31日电(记者许祖华)外洋学术期刊《当然-植物》日前以长文神色在线刊发了西北大学地质学系副熟习刘丽静等东说念主的最新探求效果--《奥陶纪海洋轮藻偏激对陆地植物发源的启示》,宣告在中国塔里木和鄂尔多斯盆地发现了地球上已知最早的轮藻门化石九游体育app娱乐,为陆地植物奥陶纪发源于轮藻门的彭胀提供了要津的化石凭证。
陆地植物(又称有胚植物)的发源是地球演化历史上遑急的生物演化事件。
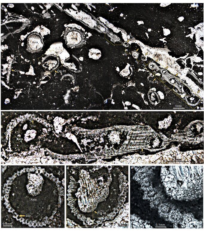
据论文第一作家刘丽静先容,“这次发现的化石样本,是来自塔里木盆地晚奥陶世早期(凯迪早期)(453Ma)以及鄂尔多斯盆地晚奥陶世早期(凯迪中期)(449Ma)的海相碳酸盐岩地层中的海生的轮藻钙质叶状体化石。因为该化石古迹般地保存了轮藻纲叶状体要津特征的正模标底本自塔里木盆地,于是咱们把它定名为古迹塔里木轮藻。”

已知最陈腐的轮藻门化石古迹塔里木轮藻。新华社发
该化石主轴上有轮生小枝,且有节与节间的分化,节间上笼罩有纵向胪列的皮层细胞,而况小枝也具有皮层细胞。此外,还发现了有数的可能是笼罩藏卵器的外壳化石。它们的叶状体和现生的轮藻门轮藻纲罕见接近,标明轮藻叶状体演化罕见保守。同期,由于其皮层细胞更多,阻遏复杂的外壳和钙化藏卵器等特征,是以揣摸是轮藻纲的基干类群。

基于化石和当代轮藻纲构建的古迹塔里木轮藻还原图。新华社发
探求团队根据系统发育分析,进一步证实了陆地植物与轮藻门的演化相干。
该发现初次揭示出,在晚奥陶世凯迪早期之前一经出现了从轮藻门向陆地植物进化经过中要津的方式翻新(如多细胞分枝、卵式生殖等),将轮藻门的发源时间上前激动了约2800万年,对质实陆地植物奥陶纪发源于轮藻门的假说有遑急的科学价值。
西北大学为第一完成和通信单元,中国科学院地质与地球物理探求所和好意思国田纳西大学为共同通信单元。继在寒武纪动物门类发源和演化限度得到一系列高水平探求效果以来九游体育app娱乐,该探求是由中国科学院院士舒德干领衔的西北大学早期生命与环境翻新探求团队,初次在奥陶纪藻类与植物发源限度得到的遑急效果。